ARTÍCULOS DE REVISIÓN

Dolor torácico precordial de posible origen cardiogénico con o sin hipotensión

Diego Herrera Ramírez (Ecuador)[1]

1. Saludesa Ecuador

Doi: https://doi.org/10.16921/pfr.v8iSuplemento.282

PRÁCTICA FAMILIAR RURAL│Vol.8│Suplemento No.1│Octubre 2023│Recibido: 01/04/2022│Aprobado: 01/10/2023

Cómo citar este artículo
Herrera D. Dolor torácico precordial de posible origen cardiogénico con o sin hipotensión. PFR [Internet]. 31 de octubre de 2023; 8(Suplemento). Disponible en: https://practicafamiliarrural.org/index.php/pfr/article/view/282

Compartir en:

. .

 

MANCHESTER I
Atención inmediata

  • Dolor torácico precordial de posible origen cardiogénico con o sin hipotensión
  • Infarto agudo de miocardio

MANCHESTER II
Muy urgente

  • Dolor torácico no cardiogénico con compromiso hemodinámico

CIE 10

Código Patología
R07.7 Dolor Precordial
R07.4 Dolor en el Pecho
I20.9 Dolor en el Pecho Isquémico
I21.9 Infarto de Miocardio (agudo o con duración indicada de 4 semanas o menos)
R07.3 Dolor en la pleura, pleural, pleurítico
R07.2 Dolor pericárdico
I26.0  Embolia Pulmonar con mención de corazon pulmonar
I71.0 Disección Aórtica (cualquier parte)
I30.0 Pericarditis aguda inespecífica
J93.0 Neumotorax a Tensión (espontaneo)

Objetivo de aprendizaje

En estas situaciones es fundamental intentar diferenciar «lo grave» que requiera una actuación urgente-emergente de «lo no grave» que nos permita más tiempo para un diagnóstico y tratamiento correcto. Las principales entidades que deben descartarse, debido a su gravedad, son 5: por orden de frecuencia, un síndrome coronario agudo (SCA), una tromboembolia pulmonar (TEP) y aunque menos frecuente, debemos también considerar el síndrome aórtico agudo (SAA) (1), disección aórtica (DA), pericarditis, neumotórax a tensión.

Conocimientos clave

 

Resumen

El dolor torácico supone un reto diagnóstico para los médicos que prestan atención en los servicios de urgencias del primer mundo y mucho más para los médicos que trabajan en hospitales que carecen de estudios de laboratorio e imagen imprescindibles para el abordaje moderno. Representa entre el 5 y el 20% de los motivos de urgencias médicas.

Palabras clave: emergencia, triaje, Manchester I, atención primaria, dolor torácico precordial.

Precordial chest pain of possible cardiogenic origin with or without hypotension

Abstract

Chest pain represents a diagnostic challenge for doctors who provide care in first-world emergency services and much more so for doctors who work in hospitals that lack laboratory and imaging studies that are essential for the modern approach. It represents between 5 and 20% of the reasons for medical emergencies.

Keywords: emergency, triage, Manchester I, primary care, precordial chest pain.

Introducción

El dolor torácico supone un reto diagnóstico para los médicos que prestan atención en los servicios de urgencias del primer mundo y mucho más para los médicos que trabajan en hospitales que carecen de estudios de laboratorio e imagen imprescindibles para el abordaje moderno. Representa entre el 5 y el 20% de los motivos de urgencias médicas (2).

Algunas etiologías de dolor torácico precordial pueden manejarse posteriormente en consulta externa, pero existen otras causas que ponen en peligro la vida del paciente. El abordaje inicial en la sala de emergencia debe descartar o confirmar, cinco patologías emergentes que son:

Estas enfermedades requieren un alto índice de sospecha, el examen físico no aporta al diagnóstico diferencial. Las claves del abordaje inicial, son una buena anamnesis, recabar adecuadamente los factores de riesgo cardiovascular, y tener acceso a tecnología y laboratorio diagnóstico. Entre las cinco enfermedades, Síndrome Coronario Agudo (SCA) es la más común.

Diagnóstico diferencial

Además de las enfermedades graves previamente mencionadas otras condiciones comunes incluyen:

Factores de riesgo cardiovascular

Anamnesis y sus limitantes

La manera en que los pacientes describen su sintomatología puede ser útil, pero ante un paciente con dolor torácico y las patologías con alta mortalidad que están en juego, el médico no debe enfrascarse en un diagnóstico basado exclusivamente en anamnesis. El dolor de los órganos torácicos frecuentemente no se localiza como se enseña en los libros, y las presentaciones “atípicas” son más comunes de lo que se cree, la tromboembolia pulmonar (TEP) puede presentarse sin dolor pleurítico, un síndrome Coronario Agudo puede producir dolor torácico del lado derecho, la disección Aórtica (DA) no siempre se presenta con dolor de espalda.

Examen físico y sus limitantes

La presencia de signos vitales normales no descarta ninguna de las cinco enfermedades. La auscultación cardíaca no ayuda para precisar el Diagnóstico de síndrome coronario agudo, tromboembolia pulmonar o  diseccion aórtica. Un signo de Homans negativo al examen físico, no descarta trombosis venosa profunda como causa de tromboembolia pulmonar. La ausencia de frotes pericárdicos no descartan pericarditis.

Por todo lo expuesto sobre la anamnesis y el examen físico, cobra vital importancia la realización de exámenes de laboratorio y gabinete para descartar las causas mortales de dolor torácico.

Laboratorio

Imagen

Manejo general inicial

Si no están descartadas las cinco enfermedades que ponen en peligro la vida del paciente, se debe iniciar inmediatamente el tratamiento empírico al mismo tiempo que se solicitan exámenes de laboratorio e imagen:

  1. Vía intravascular periférica
  2. Monitoreo EKG continuo
  3. Oxígeno
  4. Morfina IV 2-4mg (eliminar dolor disminuye secreción de catecolaminas)
  5. Aspirina 1 tableta de 325mg masticada
  6. Nitroglicerina 0.4mg sublingual cada 5 min x 3 ocasiones

Síndrome Coronario Agudo (Infarto Agudo de Miocardio)

Es preciso establecer tempranamente, el diagnóstico de Síndrome Coronario Agudo (SCA). Este se basa normalmente en la presencia de síntomas (ej. dolor torácico persistente) y signos (electrocardiograma de 12 derivaciones) que indiquen isquemia miocárdica. Ante la sospecha es necesario empezar tan pronto como sea posible con la monitorización electrocardiográfica.

Clasificación del SCA, según los hallazgos del EKG y troponina:

Septal V1, V2,
Ántero-septal V1-V4,
Anterior V3, V4,
Ántero-lateral DI, aVL, V3-V6,
 Anterior extenso DI, V1-V6,
 Apical DII, DIII, aVF, V3, V4, Inferior: DII, DIII, aVF,
Ínfero-lateral DII, DIII, aVF, aVL, V5, V6,
Ínfero-posterior DII, DIII, aVF, V7, V8,
Posterior V7, V8 (onda R alta en V1, V2),
 Póstero-lateral DI, aVL, V6, V7, V8 un IAM
Lateral tendrá supradesnivel ST en D1 y aVL,

A estos hallazgos electrocardiográficos se suma una Troponina elevada.

Angina Inestable: Dolor típico. EKG con hallazgos no-específicos. Troponina normal (raramente positiva)

Nota: se debe repetir el EKG cada 30 minutos si la sospecha es alta pero el EKG inicial, es normal. Si el resultado de la primera troponina es negativo, y la sospecha sigue siendo alta, se debe repetir la troponina en 2 horas. No todo Síndrome Coronario Agudo se presenta con dolor, ni toda isquemia miocárdica tiene hallazgos iniciales anormales en el electrocardiograma.

Manejo Inicial

Nota: si el paciente tiene STEMI y tiene acceso inmediato a angioplastía coronaria, es mejor usar heparina no-fraccionada para la anticoagulación por la capacidad de suspenderla sin riesgo de hemorragia durante el procedimiento.

Tromboembolia Pulmonar (TEP)

La presentación clínica tiene un espectro amplio, desde asintomática hasta el choque cardiogénico con muerte súbita debido a falla ventricular derecha aguda. Los esquemas de clasificación actuales recomiendan guiarse en parámetros clínicos, de laboratorio e imagen.

Hasta 20% de los pacientes con TEP, no tiene factores de riesgo identificables como se mostró en el estudio International Cooperative Pulmonary Embolism Registry (ICOPER) (4). De acuerdo con el riesgo relativo de presentar TEP, los factores de riesgo se dividen en tres grupos: débiles (OR < 2), moderados (OR 2 a 9) y fuertes (OR >10).6 El tromboembolismo en ocasiones puede desencadenarse por situaciones triviales como traumatismos menores o simplemente efectuar un viaje en avión.

Los síntomas varían mucho en TEP, la disnea es el síntoma más común (73%), dolor pleurítico (66%), y tos (37%), el signo de Homans está presente en < 50%.

Dímero D. Se debe determinar en todos los pacientes con sospecha de TEP y una probabilidad clínica baja o intermedia. Con él se pueden excluir hasta 30% de los pacientes sin evaluación adicional, teniendo un riesgo de trombosis a tres meses de tan sólo 1%. El valor de corte para considerar un resultado de dímero D positivo y continuar la evaluación del paciente es de 500 μg/L.

Hallazgos EKG: ningún hallazgo es especifico, pero el patrón de S1Q3T3 y nuevo bloqueo de rama derecha son sugestivos pero infrecuentes (<10%).

Rayos X de tórax: hallazgos no específicos, se utiliza para descartar una causa alternativa a TEP. Signo de Westermark es hiperclaridad pulmonar, generalmente en las bases, por reducción del flujo sanguíneo distal al vaso ocluido, local o general, siendo la primera más frecuente.

Figura 1. RX de tromboembolia con el signo de Westermark


Inestabilidad hemodinámica (hipotensa; choque)

Si la sospecha clínica es alta, se debe proceder con la anticoagulación inmediata. Eco dopler o ecocardiografía emergente de cabecera puede demostrar un coagulo que sugiere el Diagnóstico.

Estabilidad hemodinámica

Se debe estratificar el riesgo de TEP utilizando una herramienta validada como la escala de Wells. El puntaje de 2 a 6 puntos en la escala de  Wells original y de 4 puntos en la escala de Wells modificado (simplificado), indican riesgo de embolia pulmonar:

Tabla 1. Escala de Wells

Criterio Ptos.
Signos y síntomas clínicos de Trombosis venosa profunda 3.0
Embolia Pulmonar como diagnóstico más probable 3.0
Frecuencia cardíaca >130latidos/minuto 1.5
Inmovilización o cirugías previas (4 semanas) 1.5
Embolia Pulmonar o Trombosis venosa previos 1.5
Hemoptisis 1.0
Cáncer 1.0

<Riesgo bajo de Embolia Pulmonar (EP)
2.0 – 6.0 riesgo moderado de EP
>6.0 Riesgo alto de EP

Fuente: Machado y Dimakis, 2017 (10)

Alta Probabilidad de TEP (Wells > 6.0)

Probabilidad moderada o baja (Wells <4.0)

TAC Angiografía Pulmonar

Se coordina la administración de contraste con la toma de imágenes para maximizar la visualización de las arterias pulmonares. Tiene mayor sensibilidad que una  TAC contrastada de tórax (5).

Eco Dopler de las extremidades inferiores

Puede diagnosticar TVP, pero no es suficiente para diagnosticar TEP. Si no hay acceso a tomografía, se puede utilizar Eco para justificar el tratamiento empirico.

Manejo inicial

Fármacos

Heparina de bajo peso molecular (subcutáneo)

Nota: está indicado en paciente sin comorbilidades, no embarazada, o falla renal.

Heparina no fraccionada IV es menos eficaz a Enoxaparina

Warfarina es una opción, pero no inicialmente por su demora de acción (72 horas).

Nuevos anticoagulantes orales son otra opción inicial para pacientes ambulatorios.

Disección Aórtica (DA)

Una enfermedad catastrófica, no común, cuyo diagnóstico temprano es esencial para evitar mortalidad que supera 50% en los primeros dos días, y es maldiagnosticado con frecuencia en salas de emergencia. Factores de riesgo incluyen: hipertensión arterial, aneurisma Aórtica previa, aterosclerosis, síndrome de Marfan, síndrome de Turner (mujeres); y enfermedades inflamatorias. Dolor desgarrante es el síntoma más común (>90%) (6). Examen físico puede demostrar discrepancias de presión arterial entre brazos, soplo de insuficiencia Aórtica, y presión de pulso ampliada. Pero la ausencia de estos signos no descarta el diagnóstico.

Exámenes

Exámenes de sangre y EKG: no sirven para diagnosticar disección, sino para descartar otras causas de dolor torácico.

Rayos X de tórax: puede demostrar mediastino ensanchado, pero no es sensible.

Tomografía axial computarizada (TAC) contrastada de tórax: es el estudio de elección para visualizar el doble lumen o Flap, el colgajo de la disección o la detección de dos luces aórticas.

Ecocardiografía: Si el paciente es inestable o si no existe opción de TAC, este estudio de cabecera es recomendado. Transesofágico es preferido sobre transtorácico.

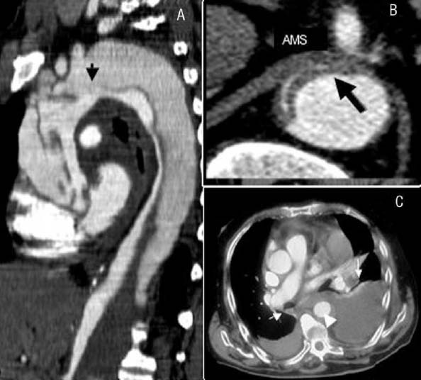
Figura 2. TAC de diseccion Aórtica

 

Manejo Inicial

  1. Monitoreo de EKG continuo
  2. Morfina 2-4mg IV
  3. Líquidos IV si el paciente está hipotenso
  4. Antihipertensivos IV (meta: pulso <60; presión arterial < 120/80)
    Betabloqueantes: Esmolol, Labetalol, Metoprolol, Propanolol
    Diltiazem o Verapamilo
    Nitroprusiato
  5. Interconsulta urgente con cirugía cardiovascular.

Pericarditis

Una causa no frecuente de dolor torácico variable (desde pleurítico hasta opresivo), el más clásico siendo un dolor que se alivia al sentarse inclinado hacia adelante y se agrava en decúbito supino. Pericarditis aguda no complicada (80% de los casos), generalmente de origen viral, se puede o no presentar con frotes pericárdicos. Un derrame pericárdico puede o no dar matidez cardíaca y atenuación de los ruidos cardíacos. 

Taponamiento cardíaco sucede cuando el derrame pericárdico es suficiente para ejercer presión sobre el miocardio, dando signos de ingurgitación yugular e hipotensión, representa un riesgo vital.

Exámenes

EKG: 3 estadios de cambios de EKG son descritos, pero son muy variables en la práctica.

Rayos X de Tórax: tiene poca utilidad porque se requiere un mínimo de 200ml de líquido pericárdico para agrandar la silueta cardíaca, y derrames pericárdicos grandes no son comunes en la fase inicial de pericarditis.

Ecocardiografía: Para detectar derrame pericárdico. Pero la ausencia de derrame no descarta pericarditis. Es urgente si se sospecha taponamiento cardíaco. De no estar disponible, la TAC de tórax puede identificar un derrame moderado.

Pericardiocentesis: No es requerido en la mayoría de los casos porque son de origen viral o idiopático. Cuando hay sospecha de tuberculosis o derrame asociado con cáncer, se debe considerar pericardiocentesis. Como terapia, está indicado en pacientes con taponamiento cardíaco.

Factores de alto riesgo para complicaciones

Fiebre, taponamiento cardíaco, pacientes inmunocomprometidos, anticoagulación, trauma agudo, troponina elevada, no mejora clínica luego de 7 días de AINES.

Pericarditis constrictiva, como complicación tardía, puede ocurrir en 1% de todos los casos (7).

Manejo

1. AINEs (dosificación TID)

Ibuprofeno 600mg -o- Aspirina 650mg -o- Indometacina 25mg

Se administra hasta una resolución de síntomas y luego una dosificación cónica durante 2-4 semanas. Pacientes con riesgo de sangrado gastrointestinal deben recibir omeprazol como gastro protector. En pacientes con pericarditis sintomáticos postinfarto agudo de miocardio (Síndrome de Dressler), se debe usar aspirina y NO otro AINE.

2. Colchicina (basado en el peso corporal)

Se utiliza además de AINEs en pacientes con probable pericarditis viral o idiopático (8). La duración de la terapia con Colchicina es de 3 meses. No se debe utilizar si hay sospecha de pericarditis bacteriana.

3. Corticoides

Prednisona 0.2 mg/kg/día con dosificación cónica por 2-4 semanas.

Se utiliza solo si existe una contraindicación de AINEs (ej. falla renal o embarazo >20 semanas, o si para una causa especifica de pericarditis (enfermedades inflamatorias sistémicas). Corticoides como terapia temprana se asocia con enfermedad recurrente(9).

Referencias bibliográficas

  1. A.L. Aguilar-Shea, C. Gallardo-Mayo. Aneurisma aórtico. Una patología que se debe tener presente. SEMERGEN, 35 (2009), pp. 478-479
  2. M. Martínez-Sellés, H. Bueno, A. Sacristán, A. Estévez, J. Ortiz, L. Gallego, et al.Dolor torácico en urgencias: frecuencia, perfil clínico y estratificación de riesgo. Rev Esp Cardiol, 61 (2008), pp. 953-959
  3. Stein PD, Goldhaber SZ, Henry JW, Miller AC Arterial blood gas analysis in the assessment of suspected acute pulmonary embolism. Chest. 1996;109(1):78.
  4. Goldhaber SZ, Visani L, De Rosa M.. Acute pulmonary embolism: clinical outcomes in the International Cooperative Pulmonary Embolism Registry (ICOPER)., 353 (Lancet 1999), pp. 1386-1389
  5. Remy-Jardin M, Pistolesi M, Goodman LR, et al. Management of suspected acute pulmonary embolism in the era of CT angiography: a statement from the Fleischner Society. Radiology. 2007;245(2):315.
  6. Levy D, Goyal A, Grigorova Y, et al. Aortic Dissection. [Updated 2022 May 2]. In: StatPearls [Internet]. Treasure Island (FL): StatPearls Publishing; 2022 Jan.
  7. Welch TD Constrictive pericarditis: diagnosis, management and clinical outcomes Heart 2018;104:725-731.
  8. Imazio M, Brucato A, Cemin R, et al. A randomized trial of colchicine for acute pericarditis. N Engl J Med. 2013;369(16):1522.
  9. Rilkov Daskalov, I., Valova-Ilieva, T. Management of acute pericarditis: treatment and follow-up Vol. 15, N° 16 - 13 Sep 2017